Home
Alternative Dental Medicine
Controversies in Dentistry
General Dental Care
General Care & Prevention
Cosmetic Bonding
Bonding & Bridgework
Crown & Bridgework
Implant Crown
Routine Orthodontics
Complex FJO Orthodontics
Complex TMJ Treatment
Tooth Whitening
10 Steps to Better Health
Save Teeth - Change Life
SmilePage News Archive
Smile Tips & Health Tips
F.A.Q.
About Us
Contact Us
Related Links
Search
 
SmilePage Learning Center
Smile Store

Get the first book on

Alternative Medical Dentistry
"Your Jaws ~ Your Life"
Alternative Medicine Without
Drugs or Surgery


Copyright©1998-2018
SmilePage® Corporation
P.O. Box 20300
Baltimore, MD 21284 USA

Email: Info@SmilePage.com
All Rights Reserved
Disclaimer, Terms & Conditions
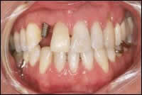
ROUTINE IMPLANT & CROWN

Dental Implants utilize modern techniques and modern implant materials, combined with a traditional Crown, to replace a fully fractured and/or missing tooth.

Dental Implants & Crowns can restore teeth both functionally and cosmetically, and do so for years of chewing and smiling.

Missing Fractured Tooth


Before

After


Implant Before Crown

Want to know more?
Click here to order the new book: Your Jaws ~Your Life

 

Smile Store | SmilePage® Learning Center | SmilePage® Publishing | Author Dr. David C. Page

Copyright©1998-2018 SmilePage® Corporation All Rights Reserved